New Bliss Logo

Peut On Blanchir Des Fausses Dents En Ceramique


Peut On Blanchir Des Fausses Dents En Ceramique

Pour procéder au brossage, sélectionnez d'abord la brosse qui est la mieux adaptée pour ce type de prothèses dentaires. Ensuite, humidifiez-la, ajoutez le.

Une couronne dentaire est un artifice prothétique qui a un sertissage complet de la dent contrairement à la facette qui ne recouvre que la partie visible de la dent..

Enfin, mettez de la colle adhésive sur les prothèses et mettez-les dans la bouche.Enlevez vos fausses dents et faites les tremper dans un verre d'eau froide.Enfin, comme.

Pour blanchir les dents, les dentistes ont trois options : le peroxyde d’oxygène , la résine composite ou la facette en porcelaine . Malheureusement, les.

Si vous voulez entretenir vos dents et garder votre appareil dentaire céramique blanc, certains aliments seront absolument à éviter pendant que d’autres.

On arrête de fumer, car la nicotine et le goudron que contiennent les cigarettes sont reconnus pour ternir les dents. On évite le plus possible les aliments qui colorent, surtout.

Les causes des dents jaunes sont diverses. Les dents, au naturel, ne sont pas blanches. Le facteur de la génétique explique que certaines personnes aient des.

La perte de dents peut être due à diverses maladies dentaires et gingivales, à un manque d’hygiène, à un accident ou à la vieillesse, entre autres. Il existe principalement deux.

Le bicarbonate de soude, également connu sous le nom de bicarbonate de sodium, se compose d’un composé chimique qui en fait un excellent abrasif doux. C’ est ce pouvoir.

Est-il possible de blanchir des fausses dents? Vous venez d’appliquer telle ou telle méthode pour blanchir vos dents naturelles mais manque de chance, une des vos.

Couronne dentaire en Céramique (tout savoir sur ces prothèses)

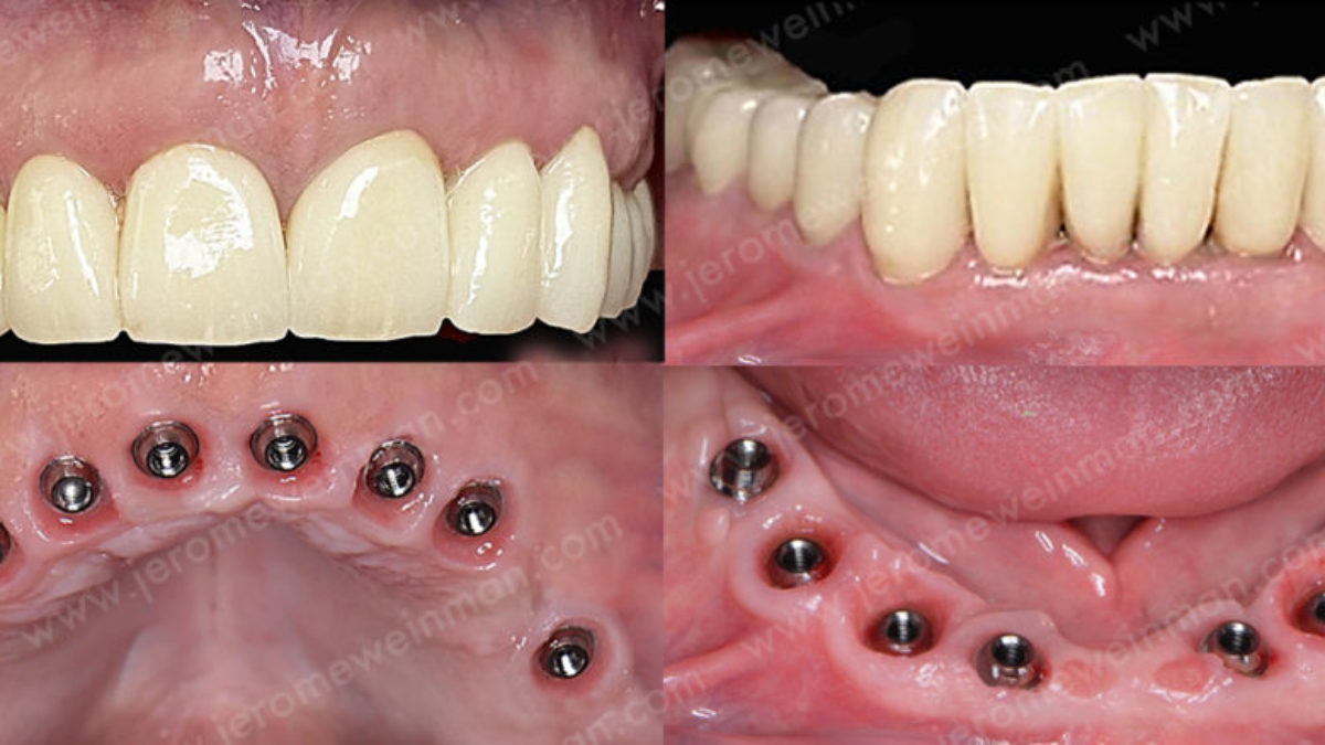
Peut On Blanchir Des Fausses Dents En Ceramique Comment nettoyer les dents sur implants dentaires?
Peut On Blanchir Des Fausses Dents En Ceramique Dentisterie Esthétique à Uccle, Bruxelles – Winston Dental Clinic
Peut On Blanchir Des Fausses Dents En Ceramique Le blanchiment des dents est-il aussi efficace sur les fausses dents ? -  AlloDocteurs
Peut On Blanchir Des Fausses Dents En Ceramique Remplacer toutes ses dents sans douleur - Édentation complète
Peut On Blanchir Des Fausses Dents En Ceramique CAS de blanchiment et Couronnes céramiques IPS E.max. Suresnes (92150) |  Dentiste Dr Jean Paul Berdaa
Peut On Blanchir Des Fausses Dents En Ceramique Blanchiment dentaire | Intervention et prix | Clinique dentaire Sana Oris |  Paris
Peut On Blanchir Des Fausses Dents En Ceramique Se faire refaire les dents de devant : guide des techniques
Peut On Blanchir Des Fausses Dents En Ceramique Dents blanches : les meilleures techniques | Santé Magazine
Peut On Blanchir Des Fausses Dents En Ceramique Refaire ses dents pas cher | Devis avec tarifs et photos avant-après
Peut On Blanchir Des Fausses Dents En Ceramique Dents blanches : Techniques, prix et efficacité des méthodes
Peut On Blanchir Des Fausses Dents En Ceramique En quoi consiste un blanchiment dentaire ? - France Assos Santé
Peut On Blanchir Des Fausses Dents En Ceramique blanchiment dentaire comment ça fonctionne? Trois techniques décrites
Peut On Blanchir Des Fausses Dents En Ceramique Blanchiments et soins esthétiques | Adent Cliniques Dentaires
Peut On Blanchir Des Fausses Dents En Ceramique Soins Dentaires en Turquie | Refaire ses dents