New Bliss Logo

Dent Qui Pousse Dans Le Palais Que Faire


Dent Qui Pousse Dans Le Palais Que Faire

Le mésiodens quant à lui pose problème s'il n'est pas retiré, car il peut provoquer une irritation des muqueuses du palais mais aussi de la langue, par frottement. Il est.

Dent qui pousse dans le palais. bonsoir,j'ai 15 ans est je rencontre actuellement un problème.J'ai l'impression qu'une dent pousse au milieu de mon il y a comme une bosse.

Plus ou moins intense, le mal de dent est difficile à supporter. Il est important d’analyser la douleur dentaire car ses caractéristiques guident le chirurgien-dentiste dans.

« Si la dent n’est pas dévitalisée et que le kyste dentaire est inférieur à 5 mm de diamètre, on réalise un traitement endodontique », explique le chirurgien-dentiste. Ce.

Meilleure réponse: bonjour Shuunybiu69 mon fils qui a 17 ans a le même problème que toi (dent qui pousse au palais) donc le dentiste va lui l'arraché mais cela fait pas mal car il.

Dans le but de soigner des canines incluses, différentes opérations peuvent être réalisées. Il faut faire de la place au niveau de l’arcade, en extrayant des dents et/ou en mettant en.

Pour résumer, dans le cas où une dent définitive pousse dans le palais de votre enfant, le plan d’action serait comme suit : Attendre que la dent de lait tombe d’elle-même : la dent.

Si la dent de lait peut tomber toute seule, la consultation chez un orthodontiste est nécessaire, voire même, indispensable ! La dent de lait pourra alors être retirée sous.

Bonjour, J'ai une dent dans le palais, je me suis fait opérée et on m'a posé un "appareil" pour la remettre a sa place. Mais a chaque fois que l'orthodentiste tire pour la ramener,.

Les gros odontomes peuvent aussi causer une hypertrophie du maxillaire ou de la mandibule. Ils sont habituellement réparés chirurgicalement. Les tumeurs des glandes.

« Pour qu’il y ait irruption de la dent de sagesse, il faut d’abord que disparaisse l’os situé au-dessus de la dent. Au fur et à mesure que la dent s’édifie,.

Troisième séance d’orthophonie et bilan ORL un peu plus poussé maintenant qu’il est en confiance. Aramis ne mâche pas comme il faut, il a tendance à.

Dents définitives qui poussent à côté des dents de lait

Dent Qui Pousse Dans Le Palais Que Faire Dent définitive qui pousse derrière une dent de lait - Dentiste pour Enfants
Dent Qui Pousse Dans Le Palais Que Faire Une petite souris pour une grande dent ! | La vie de la famille écureuil
Dent Qui Pousse Dans Le Palais Que Faire L'orthodontie des enfants - AlloDocteurs
Dent Qui Pousse Dans Le Palais Que Faire Malocclusions dentaires traitées grâce à l'expansion palatine | Bücco
Dent Qui Pousse Dans Le Palais Que Faire La première dent de bébé est de travers : que faire ? - Dentiste pour  Enfants
Dent Qui Pousse Dans Le Palais Que Faire Double rangée de dents : faut-il s'en inquiéter ?
Dent Qui Pousse Dans Le Palais Que Faire 10 choses à savoir sur nos dents
Dent Qui Pousse Dans Le Palais Que Faire Les exostoses mandibulaires : une curiosité anatomique. — Conseil Dentaire  Dr.Hauteville
Dent Qui Pousse Dans Le Palais Que Faire Solutions aux dents qui se chevauchent | Dr Sylvain Chamberland
Dent Qui Pousse Dans Le Palais Que Faire Anomalies des dents définitives | Bücco
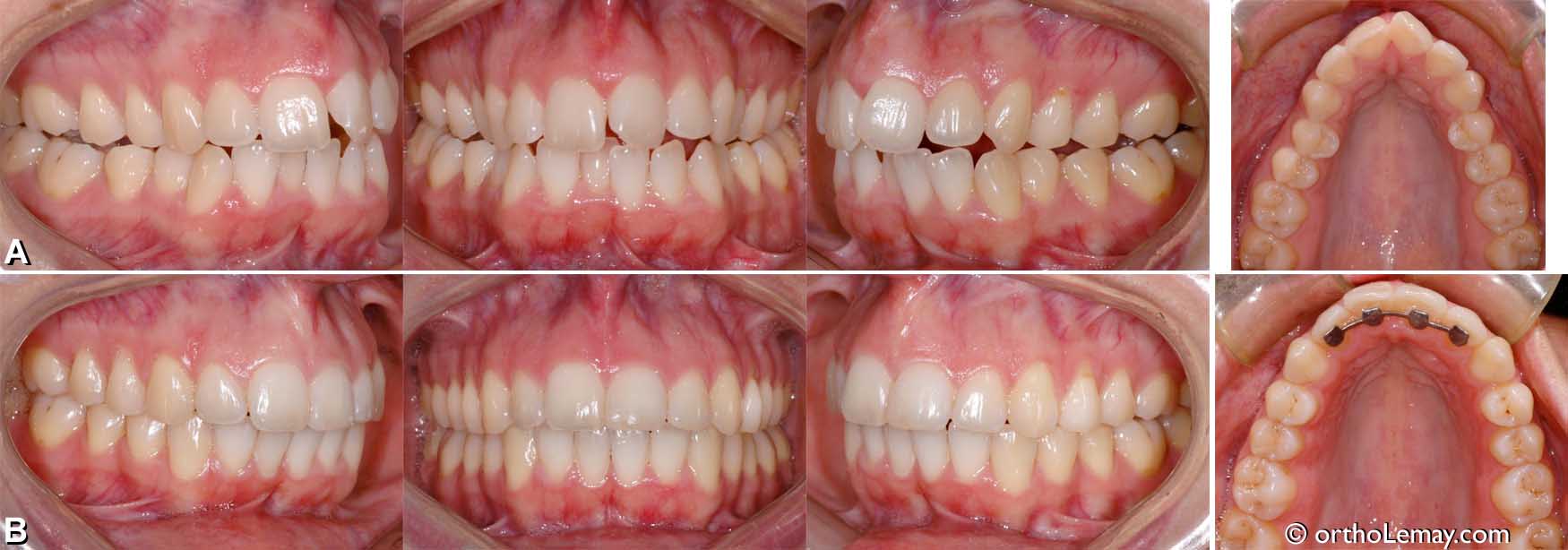
Dent Qui Pousse Dans Le Palais Que Faire Solutions aux dents qui se chevauchent | Dr Sylvain Chamberland
Dent Qui Pousse Dans Le Palais Que Faire L' E.LN. (ENVELOPPE LINGUALE NOCTURNE)
Dent Qui Pousse Dans Le Palais Que Faire Les extractions en orthodontie | Bücco
Dent Qui Pousse Dans Le Palais Que Faire Dent qui pousse dans le palais : de quoi s'agit-il ? - Dentiste pour Enfants